Review Article
Volume-1 Issue-1, 2025
Rapid Growing Amyloid Goiter Mimicking a Malignant Thyroid Tumor in 24-Year-Old-Male, Secondary Amyloidosis and End-Stage Kidney Failure
Received Date: February 01, 2025
Accepted Date: February 19, 2025
Published Date: February 26, 2025
Journal Information
Abstract
Background: Rapid growing amyloid goiter (AG) is an extremely rare cause of thyroid gland hypertrophy associated with secondary forms of amyloidosis. Characterized by the presence of deposits extracellular amyloid protein in thyroid tissue in sufficient quantities to produce enlargement of the gland, it can be seen in chronic inflammatory disorders, with the common characteristic of amyloidotic renal failure.
Case presentation: We present a case of 24-year-old male in euthyroid with AG secondary to ankylosing spondylitis and chronic renal failure. Which showed a rapid enlargement of both thyroid lobes, eventually causing a loco-regional compression simulating a malignant process. Following total thyroidectomy. Diagnostic confirmation of amyloid goiter was established by microscopic examination.
Conclusion: In daily practice, practitioners should discuss differential diagnosis in patients with comorbidities suggestive of amyloidosis. The entity may be already suspected by radiology, but cytological and histological examination of amyloid deposits remain the keys attributes to establish the correct diagnosis.
Key words
Goiter; Amyloid; Surgery; Pathology
List of abbreviations: AG: Amyloid goiter; MTC: medullary thyroid carcinoma; SAA: Serum amyloid associated; AL: Amyloid light -chain; Anti-TPO: Anti-Thyroid peroxidase; Anti-TG: Anti-Thyroglobulin; TSH: Thyroid-stimulating hormone; T4: Thyroxin; CT: Computed tomography; WBC: white blood cell; HB: Hemoglobin; MCV: Mean cell volume; HCT: Hematocrit; PLT: Platelet; TTR: Transthyretin; BASDRI : Bath Ankylosing Spondylitis Disease Activity Index; ESR : Erythrocyte Sedimentation Rate; AS : Ankylosing Spondylitis; DMARDs : Disease Modifying Anti-Rheumatic Drugs; IL6 : Interleukine 6; TNF : Tumor Necrosing Factor; RA : Rheumatoid Arthritis
| Figure 1: A Computed tomography of the neck showing enlargement depending on the thyroid lodge and compressed the trachea |
| Figure 2:A macroscopically on section of the surgical spicemen, the gland was solid and film in cinsistency, white to tan in color |
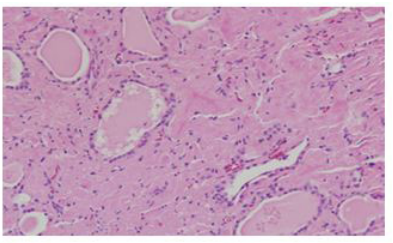
| Figure 3: Thyroid amyloidosis: The interstitial tissue is enlarged by abundant amyloid deposit (HE * 400) |
| Figure 4: The special Congo red staining showing the yellow-green birefringence of amloid deposits under polarized light (congo red * 400) |
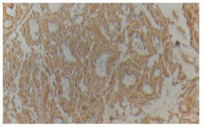
| Figure 5: Immunohistochemistry shows the strong and diffuse positiveity of the anti SAA antibody |
Background
Amyloid deposits derived from calcitonin are the most common observed in medullary thyroid carcinoma (MTC). Even in conventional multinodular goiter, amyloid deposits could also be observed but in focal site. However, this deposit in itself rarely causes a significant contribution to thyroid enlargement. A pseudo-tumor thyroid hypertrophy due to amyloid deposits unrelated to calcitonin is an extremely rare condition defined by Beckman in the 1800s and by Eiselberg in 1904 [1]. Subsequently, the term “amyloid goiter” (AG) was conceived as a disorder related to primary or secondary forms of amyloidosis [2] .Primary amyloidosis is caused by systemic amyloid disease unrelated to various chronic conditions, whereas secondary amyloidosis is caused by amyloid aggregates derived from predisposing conditions (chronic inflammatory diseases, infections and hematological disorders) [3].Giant Goiter pseudo tumor due to amyloid deposits is extremely rare, and most cases are not diagnosed prior to surgery.
Case Presentation
The patient is a 24-year-old male without any family history of thyroid disorders. He presented with an anterior neck swelling for 2 years in which in the last 6 months complained of a recent rapidly increasing swelling with locoregional compression type of dyspnea and dysphagia. He was first seen at the local hospital, but was subsequently referred to our university hospital due to the alarming size of the rapid growing goiter as well as taking into account the male sex and the young age of the patient; the malignancy is made very suggested.
He had a medical history of ankylosing spondylitis (AS), diagnosed when he was 17 years-old, treated with continuous use of non-steroidal anti-inflammatory drugs (NSAIDs) and occasional use of glucocorticoids and analgesics during short periods with an indication of the biological treatments (including rituximab and tocilizumab). 3 years later the patient developed a slowly deteriorating chronic kidney failure. A kidney biopsy revealed renal amyloidosis with presence of AA protein identified by immunohistochemistry. Even with treatment, the kidney failure progressed and in 2018, the patient was enrolled in hemodialysis. On physical examination, a 24 × 10 cm large mass involving both the thyroid lobes was palpable in the neck, with a slight overweight to the right side of firm consistency and without palpable latero-cervical lymphadenopathy, normal abdominal physical exam without hepatosplenomegaly as well as neurological physical exam without abnormalities. The rest of the physical exam was without significant anomaly.
In laboratory data, T4: 1.05 ng/dL (N: 0.90–1.5 ng/dL), TSH: 0.534 mIU/mL (N: 0.3–5, 5 mIU/mL), and thyroid auto-antibodies such as Anti-TPO (antithyroid peroxidase) and anti-Tg (antithyroglobulin) were found to be negative. Other laboratory findings were WBC: 6000, Hb: 8.6 g/DL, Hct: 25.4%, MCV: 82.2 fL, Plt: 190000 𝜇L, urea: 70md/dL , creatinine: 3mg/dL , fasting blood sugar :90 mg/dl, C-reactive protein(CRP):8.9 mg/dL and hepatic function tests were found to be normal. Thyroid ultrasound showed hypertrophy of the entire thyroid gland, isoechoic and no identifiable nodules. A CT scan of the neck and chest showed hypertrophy of the thyroid with decreased density and asymmetrical growth, more pronounced in the right lobe. Retropharyngeal extension and the airway was engulfed, displaced, and molded.
Fine needle aspiration of the right cervical mass twice demonstrated lack of interpretable follicular cell clusters; abundant amorphous material of hyaline appearance strongly stained with Congo red and birefringent under polarized light, therefore possible medullary thyroid carcinoma cannot be ruled out requires a confrontation on the operating specimen.
A total thyroidectomy was performed and the surgical specimen was sent to us for a histopathological examination , macroscopically found a total weight of the gland, 420 g (right lobe, 290 g) ,right lobe of 13 cmx 5 cm x4 cm and left lobe of 11 cmx 4,5 cmx 3,5 cm. We found a lobed surface, a firm consistency, glazed and homogeneous appearance and lobulated tissue without identification of nodules on the different sections
Both lobes had similar histological characteristics, with total loss of normal architecture, few thyroid follicles, often dilated bordered by regular thyrocytes without any atypia , thyroid follicles surrounded by large amorphous ranges, non-cellular material and eosinophilic, which has also been seen in vascular walls. This stained material with Congo red procedure, showing greenish birefringency under polarized light .Upon immunohistochemical evaluation, these amyloid deposits were positive for AA .There was no immunoreactivity noted for calcitonin, thereby excluding MTC. The final diagnosis was consistent with AG (Figures 1,2,3,4 & 5).
Discussion
Amyloidosis is defined as an extracellular accumulation of aberrant folded protein components causing amyloid fibrils. Moreover, amyloidosis is a multi-faceted disease whose etiological context is heterogeneous. In 30-80% of patients with primary or secondary amyloidosis involving the thyroid gland remain asymptomatic [4]. In more than 50% of patients with medullary thyroid carcinoma, amyloid may also be encountered in the thyroid [2, 3]. However, thyroid hypertrophy with symptomatic or clinically detectable mass due to amyloid deposition is a rarity[5].
There are different types of amyloidosis. Depends on the type of protein that is affected by the disease. Types of amyloidosis include:
AL amyloidosis: “Primary amyloidosis” is linked to a disorder of the plasma cells responsible for the production of immunoglobulins or antibodies. They can be either kappa or lambda light chains deposit in tissues in the form of "AL" amyloid.
Hereditary or familial amyloidosis: The most common subtypes involve a protein called transthyretin (TTR). It can be passed on from one generation to another within a family
AA amyloid protein: Also called "autoimmune amyloidosis," "secondary amyloidosis," or “inflammatory amyloidosis.” found in amyloid deposits, derives from the serum precursor, serum amyloid-associated protein (SAA). SAA protein is an apolipoprotein, involved in inflammation. A high rate of chronic serum SAA is the determining factor in the onset of amyloidosis in chronic inflammatory diseases [6].But does not say that all patients with chronic inflammatory disease and prolonged serum elevation of SAA will develop amyloidosis. There must therefore be further genetic and environmental factors at work. In developing countries, the etiology of secondary inflammatory amyloidosis is mainly infectious however, in developed countries, chronic inflammatory conditions such as chronic inflammatory rheumatism, Crohn’s disease, ulcerative colitis or Whipple’s disease are most often involved [2]. Even tumors such as kidney cancer, hepatocellular carcinoma and lymphoma can be implicated in AA amyloidosis. Recently Castleman’s disease is one of the causes that should be investigated for apparently idiopathic AA amyloidosis.Our patient was previously diagnosed with AA amyloidosis through a needle biopsy from the kidney, and amyloid deposits in the thyroid specimen exhibited distinct AA immunoreactivity, supporting the diagnosis of AA amyloidosis. Long-lasting inflammatory conditions of our patient due to ankylosing spondylitis.Higher disease activity captured by the gold standard, self-reported, and validated instrument “Bath Ankylosing Spondylitis Disease Activity Index” (BASDAI) [7] in addition to higher age, longer duration of AS, elevated ESR, and the presence of peripheral arthritis were all associated with amyloidosis but only the initial BASDAI score remained as an independent predictor for the development of secondary amyloidosis in the multivariate analysis [8]. As an historical illustration of the severity of this complication, data from Finland reveal that AA amyloidosis was an important cause of death in patients with AS before the era of biologics [9]. Secondary amyloidosis was the immediate cause of death in 13% of all deaths among 398 cases with AS followed over almost 30 years at the Rheumatism Foundation Hospital in Heinola [9].
Our case has several peculiarities. Firstly, our patient is male and very young age of 24-year, who presented in the last 6 months before surgery a giant goiter of rapid growing .In most publications, the authors describe AG as a progressive enlargement of the thyroid gland, over 10 years and in middle-aged patients (>40 years). Taking into account all these factors of poor prognosis in our case, a malignancy was our haunting and even preoperative cytology showed the presence of amyloid deposits, medullary thyroid carcinoma cannot be ruled out. Secondly, since the patient also exhibited chronic renal failure, one could in theory suspect dialysis-related amyloidosis as a contributor of the AG development [10]. Β2-microglobulin is an amyloid protein involved in this disease, causing amyloid aggregations that are known to cause destructive arthopathies. As we were able to identify AG deposits as AA derived by immunohistochemistry, there is little suspicion that the patient also suffered from dialysis-associated amyloidosis. Another particular feature of this case is the absence of adipose metaplasia associated with amyloid deposits, which has been observed in the most cases previously [11]. This suggests that the process governing amyloid deposition was rapid, which may explain the absence of the associated adipose tissue metaplasia in our case.
The optimal treatment strategy of AA amyloidosis includes control of the underlying inflammatory disease and complete suppression of SAA production [12]. Before the era of anti-cytokine targeted therapies, conventional synthetic Disease Modifying Anti-Rheumatic Drugs (DMARDs) such as azathioprine, chlorambucil, cyclophosphamide, and methotrexate were frequently used to avoid heavy proteinuria and subsequent renal failure in patients with AA amyloidosis [13]. In recent years, given that IL-6 and TNF as the main drivers of SAA release, blocking their agents have been shown to reduce the risk of development of AA amyloidosis in patients with inflammatory arthritis [14-15]. Indeed, effectiveness of the humanized anti-IL-6 and anti-TNF receptors antibody’s (tocilizumab infliximab, rituximab) for the treatment of AA amyloidosis in RA and juvenile idiopathic arthritis as well as in AS have been reported in recent studies [16]. Our patient also had an indication for biological treatment but the efficacy of the treatment cannot be judged since the patient’s adherence to the treatment has not been ensured.
In conclusion, practitioners should discuss differential diagnosis in patients with comorbidities suggestive of amyloidosis. The entity may be already suspected by radiology, but cytological and histological examination of amyloid deposits remain the keys attributes to establish the correct diagnosis.
Declaration
Availability of data and material
Department of Pathology/ Department “A” of Surgery/ Ibn Sina Hospital, Rabat, Morocco
Competing interests
The authors declare that they have no competing interests
Author’s contributions
OM provided clinical and paraclinical data and analysed the patient data on the manuscript, KZ performed the histological examination of the thyroid specimen surgical studies. Finally, the manuscript has been read and approved for submission by all the named authors.
Consent for Publication
Written informed consent was obtained from the patient for publication of this case report and any accompanying images. A copy of the written consent is available for review by the Editor of this journal.
References
- Arean VM, Klein RE (1961) Amyloid goiter: A eeview of the literature and report of a case. Am J Clin Pathol 36: 341-55.
- Nosé V (2018) Diagnostic pathology. Endocrine. (2nd edn). Philadelphia, PA: Elsevier.
- Altiparmak MR, Pamuk ON, Pamuk GE, Apaydin S, Ataman R, et al. (2002) Amyloid goitre in familial Mediterranean fever: report on three patients and review of the literature. Clin Rheumatol 21: 497-500.
- Briggs GW (1961) Amyloidosis. Ann Intern Med 55: 943-57.
- Villamil CF, Massimi G, D’Avella J, Cole SR (2000) Amyloid goiter with parathyroid involvement: a case report and review of the literature. Arch Pathol Lab Med 124: 281-3.
- Wechaleka r AD, Gillmore JD, Hawkins PN (2016) Systemic amyloidosis. Lancet 387: 2641-54.
- Garrett S, Jenkinson T, Kennedy LG, Whitelock H, Gaisford P, Calin A. A new approach to defining disease status in ankylosing spondylitis:the Bath Ankylosing Spondylitis Disease Activity Index. J Rheumatol.
- Dönmez S, Pamuk ÖN, Pamuk GE, Aydogdu E, Inman R. Secondary amyloidosis in ankylosing spondylitis. Rheumatol Int 33: 1725-29.
- Lehtinen K (1993) Mortality and causes of death in 398 patients admitted to hospital with ankylosing spondylitis. Ann Rheum Dis 52: 174-6.
- Ohashi K (2001) Pathogenesis of beta2-microglobulin amyloidosis. Pathol Int 51: 1-10.
- Law JH, Dean DS, Scheithauer B, Earnest F, Sebo TJ, et al. (2013) Symptomatic amyloid goiters: report of five cases. Thyroid 23: 1490-5.
- Pinney JH, Hawkins PN. Amyloidosis. Ann Clin Biochem 49: 229-41.
- Tan SY, Pepys MB, Hawkins PN (1995) Treatment of amyloidosis. Am J Kidney Dis 26: 267–85.
- Gottenberg JE, Merle-Vincent F, Bentaberry F, Allanore Y, Berenbaum F, et al. (2003) Anti-tumor necrosis factor alpha therapy in fifteen patients with AA amyloidosis secondary to inflammatory arthritides: a followup report of tolerability and efficacy. Arthritis Rheum 48: 2019-24.
- Ozawa M, Komatsuda A, Ohtani H, Nara M, Sato R, Togashi M, et al. Long-term prognosis of AL and AA renal amyloidosis: a Japanese single-center experience. Clin Exp Nephrol 21: 212–27.
- Courties A, Grateau G, Philippe P, Flipo RM, Astudillo L, et al. (2015) AA amyloidosis treated with tocilizumab: case series and updated literature review. Amyloid 22: 84–92.
Artcle Information
Review Article
Received Date: February 01, 2025
Accepted Date: February 19, 2025
Published Date: February 26, 2025
European Journal of Case Reports
Volume 1 | Issue 1
Citation
ELaouni.Soukaina (2025) Rapid Growing Amyloid Goiter Mimicking a Malignant Thyroid Tumor in 24-Year-OldMale, Secondary Amyloidosis and End-Stage Kidney Failure. Eur J Case Rep 1: 102
Copyright
©2025 ELaouni.Soukaina. This is an open-access article distributed under the terms of the Creative Commons Attribution License, which permits unrestricted use, distribution, and reproduction in any medium, provided the original author and source are credited.
doi: ejcr.2025.1.102

