Review Article
Volume-1 Issue-1, 2021
Development of a Process for Efficient Enzymatic Hydrolysis of Pine Needles for Enhanced Sugar Production: A Key Step for Second Generation Ethanol Production
Received Date: February 12, 2022
Accepted Date: March 12, 2022
Published Date: March 14, 2022
Journal Information
Abstract
In the present study, two hyper hydrolytic enzyme producer mutant strains i.e. B.stratosphericus N12 (M) and B. altitudinis Kd1 (M)have been used for enzyme production which exhibited an appreciable increase i.e. 160.49% in cellulase and 105.80% in xylanase activities over their respective wild strains. The already optimized conditions of OFAT were opted further to switch over to more efficient statistical tool i.e. Response surface Methodology (RSM). Significant increase in reducing sugars i.e. 33.21 mg/g with overall 453.50 % through RSM was achieved. Quantitative analysis of sugars by using High Performance Liquid Chromatography (HPLC) technique has also been done.
Key words
Pine needles; Hydrolytic enzymes; Sacchari fication; Reducing sugars
Sr No. |
Name |
Accession No. |
Source |
1. |
BacillusstratosphericusN12 (M) |
KC995118 9 [NCBI, US] |
Soil |
2. |
Bacillus altitudinis Kd1 (M) |
KC995117 [NCBI, US] |
soil |
Sr No. |
Enzyme |
Strain |
(IU/ml) |
Percent increase in mutant strain over wild strain (%) |
||
Crude |
Partially purified |
Purified |
||||
1. |
Cellulase |
Bacillusstratosphericus N12 (W)- wild |
0.710 |
0.920 |
1.501 |
160.49 |
Bacillusstratosphericus N12 (M)- mutant |
0.918 |
2.550 |
3.910 |
|||
2. |
Xylanase |
Bacillusaltitudinis Kd1 (W) - wild |
13.88 |
17.34 |
20.34 |
105.80 |
Bacillusaltitudinis Kd1 (M)- mutant |
20.42 |
24.58 |
41.86 |
|||
Std |
Run |
Incubation time (h) |
Enzyme dose (ml/g) |
Temperature (°C) |
Reducing sugars (mg/g) |
19 |
1 |
72 |
12.50 |
35 |
26.55 |
6 |
2 |
96 |
10.00 |
40 |
26.39 |
1 |
3 |
48 |
10.00 |
30 |
27.44 |
14 |
4 |
72 |
12.50 |
43 |
21.54 |
8 |
5 |
96 |
15.00 |
40 |
27.45 |
17 |
6 |
72 |
12.50 |
35 |
24.36 |
15 |
7 |
72 |
12.50 |
35 |
25.49 |
16 |
8 |
72 |
12.50 |
35 |
27.35 |
9 |
9 |
31 |
12.50 |
35 |
26.56 |
11 |
10 |
72 |
8.30 |
35 |
22.80 |
5 |
11 |
48 |
10.00 |
40 |
27.39 |
13 |
12 |
72 |
12.50 |
26 |
27.47 |
12 |
13 |
72 |
16.70 |
35 |
24.39 |
2 |
14 |
96 |
10.00 |
30 |
27.52 |
7 |
15 |
48 |
15.00 |
40 |
25.40 |
18 |
16 |
72 |
12.50 |
35 |
27.50 |
3 |
17 |
48 |
15.00 |
30 |
22.53 |
20 |
18 |
72 |
12.50 |
35 |
23.67 |
10 |
19 |
112 |
12.50 |
35 |
22.19 |
4 |
20 |
96 |
15.00 |
30 |
27.10 |
Std |
Run |
Incubation time (h) |
Enzyme dose (ml/g) |
Temperature (°C) |
Reducing sugars (mg/g) |
1 |
1 |
48 |
10.00 |
40 |
33.15 |
2 |
2 |
96 |
10.00 |
40 |
28.80 |
8 |
3 |
96 |
15.00 |
50 |
33.05 |
15 |
4 |
72 |
12.50 |
4 |
31.48 |
13 |
5 |
72 |
12.50 |
36 |
31.39 |
19 |
6 |
72 |
12.50 |
45 |
31.54 |
16 |
7 |
72 |
12.50 |
45 |
29.78 |
10 |
8 |
112 |
12.50 |
45 |
31.85 |
9 |
9 |
31 |
12.50 |
45 |
33.09 |
6 |
10 |
96 |
10.00 |
50 |
30.01 |
4 |
11 |
96 |
15.00 |
40 |
32.96 |
14 |
12 |
72 |
12.50 |
53 |
29.80 |
3 |
13 |
48 |
15.00 |
40 |
32.87 |
17 |
14 |
72 |
12.50 |
45 |
33.03 |
5 |
15 |
48 |
10.00 |
50 |
33.02 |
11 |
16 |
72 |
8.30 |
45 |
33.11 |
18 |
17 |
72 |
12.50 |
45 |
33.08 |
20 |
18 |
72 |
12.50 |
45 |
31.85 |
12 |
19 |
72 |
16.70 |
45 |
33.21 |
7 |
20 |
48 |
15.00 |
50 |
32.30 |
Sr No. |
Enzymes used |
In Untreated pine needles biomass |
In Pretreated pine needles biomass |
||||
Glucose |
Xylose |
Total sugars |
Glucose |
Xylose |
Total sugars |
||
1. |
Crude |
1.96 |
1.13 |
3.09 |
18.90 |
4.20 |
23.10 |
2. |
Partially Purified |
12.37 |
1.21 |
13.58 |
18.88 |
9.36 |
28.24 |
3. |
Purified |
25.18 |
1.41 |
26.59 |
29.96 |
1.50 |
31.46 |
| Figure 1: Morphology of enzyme producer strains |
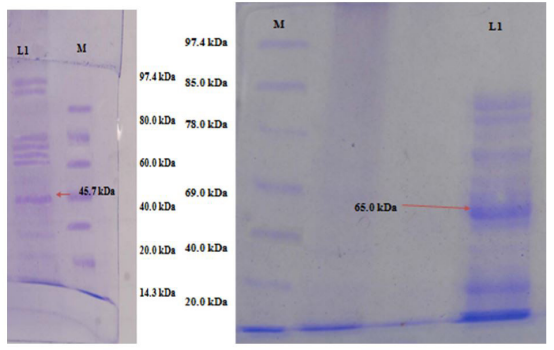
| Figure 2: Purification of cellulase from B. stratosphericus N12 (M) (a) and xylanase from B. altitudinis Kd1 (M) (b) by SDS-PAGE |
| Figure 3: Response surface curves for enzymatic hydrolysis of untreated pine needles biomass showing interactions between a) enzyme dose and temperature b) temperature and incubation period c) enzyme dose and incubation period |
| Figure 4: Response surface curves for enzymatic hydrolysis of microwave pretreated pine needles biomass showing interactions between a) enzyme dose and temperature b) temperature and incubation period c) enzyme dose and incubation period |
| Figure 5: Step wise increase in reducing sugars after optimization of process parameters by OFAT and RSM |
| figure 6: (a) Chromatogram for Standard of glucose (b) Chromatogram for Standard of xylose |
| Figure 7: Chromatogram for sugars from untreated biomass with saccharification of (a) crude (b) partially purified (c) purified enzymes |
| Figure 8: Chromatogram for sugars from pretreated biomass with saccharification of (a) crude (b) partially purified (c) purified enzymes |
Introduction
The world is facing a consistent reduction in global fossil fuels resources, like petroleum, natural gas or charcoal, while energy requirements are progressively growing up. Fossil fuels should be replaced, at least partially by alternative energy sources once the current fuel supply is suspected to be unsustainable in the foreseen future [1]. In fact, the search for sustainable alternatives to produce fuel and chemicals from non-fossil feedstocks have attracted considerable interest around the world to face the needs of energy supply and to response to climate change issue [2]. Thus biomass can efficiently replace to a large extent petroleumbased fuels on a long term basis due to abundancy of biomass in nature [3].
Among the lignocellulosic biomass materials, pine needles are considered a promising feedstock for the production of cellulosic biofuels due to its large availability. Pine needles are major recalcitrant lignocellulosic softwood biomass rich in cellulose and hemicelluloses along with lignin that cannot serve as fodder and present in bulk due to their consistent shedding from trees on the forest floors. These do not even decay like any other biomass and piled up pine needles are a major cause of wild forest fires and adversely affecting biodiversity as well as soil fertility. Forest fires deteriorate the fertility of soil and top layer of soil left with pine needle litter prevents absorption of rain water by soil thus resulting in depletion of ground water and thus demolishing livestock of important food [4]. Furthermore, dry pine needles fallen from the tree act as a barrier between the sunlight and the ground, thus slopping the growth of grasses. Pine needles could potentially be an ideal substrate for the conversion of its carbohydrates into intermediate fermentable sugars using microbial processes. This challenging waste being rich in cellulose and hemicellulose can be utilized as for its conversion to ethanol by devising a suitable microbial technology.
Pre-treatment of lignocellulose is a prerequisite step carried out to simplify the material in terms of enzymatic accessibility by increasing the surface area of the feed stock, removing barriers made by lignin, increasing porosity of cellulose [5].Currently, lignocellulosic biomass is being fractionated by using physical, chemical or enzymatic hydrolysis. Enzymatic hydrolysis of lignocellulosic biomass is considered as the key step of bioconversion process by generating fermentable hexose and pentose sugars from complex carbohydrates- cellulose and hemicellulose of lignocellulosic biomass [6]. Microorganisms are important producers of cellulases and xylanases, but the production economics of bioethanol is largely dependent on cost of hydrolytic enzymes. Since substrate cost accounts for a major fraction of the cost of cellulase and xylanase production, therefore the use of cheap biomass resources as cultivation media can help to reduce enzyme prices, thus turning overallit a cost effective process [7]. The precise quantitative analysis of biomass derived sugars is a very important step in the conversion of biomass feedstocks to fuels and chemicals. However, the most accurate method of biomass sugar analysis is based on the high performance liquid chromatography analysis of derivatized sugars.
Keeping in view the potential of pine needles for sugar production amidst focus on alternative clean and green biofuels can be harnessed provided a suitable stepwise microbial technology is developed. The present study had been undertaken witheconomical production of hydrolytic enzymes andtheir purification and further comparison of saccharification ofuntreated as well as pretreated pine needles biomass with crude, partially purified and purified enzymes into sugars. A statistical approach i.e. Response Surface Methodology (RSM) has been applied to optimize the best conditionsfor maximum hydrolysis of biomass keeping in view the commercial perspectives.
Materials and methods
Collection of Biomass
Pine needles were collected from forests flora of North- West Himalayas and brought to the laboratory. Biomass was washed with tap water and dried at 600C temperatures in the oven. Dried biomass was chopped into small pieces and then grinded into 2 mm sieve size and stored for the further experiments.
Pretreatment of pine needles biomass
Pine needles biomass was subjected to standardized microwave pretreatment[8].
Inhouse microbial strains used for hydrolytic enzymes production[9]
Production of hydrolytic enzymes from potential bacterial strains under submerged fermentation (SmF)
Each bacterial strain was grown in 100 ml of nutrient broth at 35±2°C for 24 h. As soon as the substantial growth was observed in the broth, the optical density was set to 1.0 using autoclaved distilled water.5 ml of inoculum was added to each 45 ml of specific broth media in 250 ml of Erlenmeyer flasks and the flasks were incubated their optimized incubation days at 35±2°C. After incubation, the culture contents were centrifuged at 10,000 rpm for 15 min (4°C). The supernatant was collected and enzyme assays were performed.
Cellulase assays of 3 sub-enzymes were performed following: CMCase assay [10], FPase assay [10], ß-Glucosidase assay [11] and xylanase was quantified using Miller’s method [12]where proteins were estimated by using Lowry’s method [13].
Purification o enzymes
CMCase and FPase each were partially purified by precipitation at 60% where as for β-glucosidase and xylanase 30% and 70 % levels respectively of saturation of ammonium sulfatewere observed. Precipitates of each subunit so obtained were dissolved in phosphate buffer (0.1 M, pH 6.9) and kept at 4°C for overnight. The contents were centrifuged and the pellets so collected were dissolved in phosphate buffer (0.1 M, pH- 6.9). Finally enzymes had been purified using Sephadex G-100packed into the glass column having dimensions of (31x2.5 cm) with a sample loading of 2 ml and flow rate of 3 ml in 7 min was maintained. The purified enzyme content was collected and analyzed for enzyme activity. The molecular weight of purified enzymes was determined with the help of molecular marker ranging between 14.3 kDa- 97.4 kDa under SDS-PAGE.
Optimization of process parameters for saccharification of pine needles biomass using Response Surface Methodology (RSM) approach
RSM based on Central Composite Design (CCD) was used for the optimization of independent variables for reducing sugar production in untreated and pretreated pine needles biomass. In this method, prior data obtained under previously optimized conditions i.e. enzyme dosage of 12.5 ml/g in the ratio of 7.75:4.75 (cellulase: xylanase) for 72 h of enzymatic hydrolysis at 45 °C under One Variable at a Time (OVAT) approach experiment was applied for achieving a more realistic model. Three parameters optimized by using RSMwere (i) incubation time (ii) enzyme dose and (iii) temperature
The experiment contained 20 runs. The design involved 6 centre points, 14 non centre points. The mathematical relationship of response (reducing sugars) and variables i.e. A, B and C were approximated by a quadratic model equation. The optimization of enzymatic hydrolysis of biomass was carried out for three independent variables (A) incubation time (low-36, high-60 h), (B) enzymatic dose (low-10, high-15 ml/g) and (C) temperature (low- 40, high-50 °C) following the CCD of Response Surface Methodology (RSM) experimental design.
Quantitative analysis of sugars to estimate 5 and 6 C sugars by High Performance Liquid Chromatography (HPLC)
High Performance Liquid Chromatography was performed for the estimation of 6 C (glucose) and 5 C (xylose) sugars produced in saccharified solution during enzymatic hydrolysis of pine needles biomass. Saccharification of biomass was accomplished by applying crude, partially purified and purified enzymes and sugars had been quantified through HPLC using Ultra C18 (Restek Corp.), 250mm × 4.6 mm column, 90: 10 water: methanol, 10mM ammonium formate (mobile phase A), 10: 90 water: methanol, 10mM ammonium formate (mobile phase B), injection volume was 10µl, gradient of 0-5 min at 100% A, to 100% B at 10 min, 10 min hold with flow rate of 0.5 ml /min at ambient temperature. UV detector was used @ 280 nm with standard solution of 100ppm.
Results and Discussion
Enzymes production and Purification from potential bacterial strains under submerged fermentation
Two inhouse potential bacterial strains i.e. N12 and Kd1 were selected from the gene pool of research laboratory on the basis of their highest cellulase and xylanase production.Thesetwo potential hyper enzyme producer bacterial strains had been modified by inducing physical as well as chemical mutation and both the mutated strains N12 (M) EtBr mutated and Kd1 (M)UV rays mutated strains were identified on the basis of 16 S rRNA gene sequencing technique as Bacillus stratosphericus N12 (M) and Bacillus altitudinis Kd1 (M) and registered with NCBI, US vide accession numbers KC995118 andKC995117 respectively. In the present study these potential strains were used for the production and purification of hydrolytic enzymes (cellulase and xylanase) under submerged fermentation (Figure 1).
As Table 1 depicted the results of cellulase and xylanase production as well aspurification fromBacillus stratosphericus N12 (M)and xylanase from Bacillus altitudinis Kd1 (M). Crude cellulase units of 0.918 IU (CMCase: 0.417 IU, FPase: 0.401 IU and β- glucosidase: 0.100 IU) were enhanced to 3.910 IU (CMCase: 1.500 IU, FPase: 2.004 IU and β- glucosidase: 0.406 IU) after gel filtration column chromatography. The purified cellulase showed 325.92percent increase in cellulase activity over the crude enzyme.Cellulase produced from Bacillus stratosphericus N12 (M) is a complete enzyme which includes all the three subunits required for the complete hydrolysis of cellulose.
In case of xylanase, purified xylanase units 2.42 IU of B. altitudinis Kd1 (M) were enhanced to 41.86 IU with 105.80 percent increase in xylanase activity. Thus significant increase in cellulase and xylanase activities is a most sought after crucial step to enhance the saccharification of cellulosic biomass in an effective manner to fermentable sugars.Bacterial enzymes are the extracellular enzymes which are secreted outside the cell membrane and produced externally in the media. The production and harvesting process of extracellular enzymes is very simpler as compared to intracellular enzymes which require complete hydrolysis of cellulose components which is a tedious process.
In a similar study, the strains Bacillus sp. FME 1 and FME 2 were evaluated for the cellulase enzymes production during submerged fermentation [14]. Phukon et al., also explored production of xylanase under submerged fermentation from Bacillus firmus HS11 [15].
Molecular weight was determined by comparing the relative mobility of standard protein molecular weight marker of 14.3 kDa–97.4 kDa (L1). The band of approximately 45.7 KDa for purified cellulase was observed for Bacillus stratosphericus N12 (M) in lane 1 (L1) (Figure 2 (a). Similarly the molecular weight of xylanase enzyme was approximately 33.0 KDa (L1) from Bacillus altitudinis Kd1 (M)as shown in the Figure 2 (b).In a similar study, SDS-PAGE reveals the molecular weight of purified cellulase was 45 kDa [16] and forpurified xylanase was found 32.0 KDa [17].
Standardization of process parameters for complete hydrolysis of pine needles biomass using Response Surface Methodology (RSM)
Enzymatic hydrolysis had been optimized using three levels and three factors using Central composite design (CCD) of RSM. Three independent variables i.e. incubation time, enzyme dose and temperature for reducing sugar production from untreated and pretreated pine needles biomass had been optimized. The experiment contained 20 runs with 6 centre points and 14 non centre points. The range used for optimization of parameters for three independent variables was (A) incubation time (36-60 h), (B) enzymatic dose (10-15 ml/g) and (C) temperature (40-50 °C). Response surface curves for enzymatic hydrolysis of untreated and pretreated pine needles biomass showing interactions between a) enzyme dose and temperature b) temperature and incubation period c) enzyme dose and incubation period had been predicted in Figure 3 and 4 respectively.Maximum reducing sugar yield i.e. 27.52 mg/g of biomass was observed at enzyme dosage of 10.0 ml/g in the ratio of 7.75:4.75 (cellulase: xylanase) using untreated pine needles as substrate after 96 h of enzymatic hydrolysis at 30 °C (Table 2). On the other handin pretreated biomass depending upon the interaction of various levels of three independent variables in the medium, higherreducing sugars i.e. 33.21 mg/g at 16.7 ml/g of enzyme dose at 45 °C temperature for 72 h of incubation (Table 3) withoverall percent increase of 453.50 %was observed (Figure 5). The results so obtained of RSM clearly exhibited enzymatic hydrolysis of pine needles had been directly influenced by three important environmental parameters i.e. enzyme dose, temperature and incubation time and their optimization has yielded significant increasein reducing sugars, thus proving the necessity of this statistical design for saccharification of pine needles biomass. It is well known fact that the higher yield of solubilized sugars from cellulosic biomass after enzymatic hydrolysis is a key step in turning 2nd generation bioethanol production successful commercially. Central composite design had been found an efficient design in RSM for sequential experimentation and it provides a reasonable amount of information to test lack of fit while not requiring an excessive number of design points.
In a similar study, optimization of nutrient composition for xylanase production under submerged fermentation of B. firmus HS11 was carried out by response surface methodologyand resulting in enhancement of xylanase production by 7.4 folds under optimized conditions [18].
Quantitative analysis of sugars (glucose and xylose)
Sugars obtained after the ezymatic saccharification of untreated and microwave pretreated pine needles biomass by crude, partially purified and purified ezymes were quantified by using High performance liquid chromatography technique (HPLC). Figure 5 and 6 were the standards used for the quantification of glucose and xylose respectively. Figure 7 (a, b and c) and Figure 8 (a, b and c) had been illustrating the chromatograms for glucose and xylose monomers estimated in saccharified sugary syrup of hydrolysed by crude, partially purified and purified enzymes of untreated and pretreated pine needles respectively. Highest reducing sugars were obtained from microwave pretreated biomass using purified inhouse enzymes which emphasised the necessity of purified enzymes for efficient solubilization of lignocellulosic biomass being most robust in terms of highest enzyme titers.
Both 6 C (glucose) and 5 C (xylose) sugars were estimated and maximum reducing sugars i.e. 26.59 mg/g (25.18 mg/g glucose and xylose i.e. 1.41 mg/g) were found in case of untreated biomass where as more of reducing sugars i.e 31.46 mg/g (29.96 mg/g glucose and xylose i.e. 1.50 mg/g) were obtained. In case of microwave pretreated pine needles biomass hydrolyzed by purified enzymes (Table 4).Better solubilization of microwave pretreated pine needles biomass clearly signifies that pretreatment is a prerequisite to enhance the degradation of lignocellulosic material with crude, partially purified and purified enzymes. Microwave pretreatment simplifies complex pine neeedles substrate by tempering the lignin seal, simplifying crystalline cellulose and loosening the linkage between cellulose and hemicellulose and thus making it more accessible to hydrolytic enzymes and in turn yielding more reducing sugars from it. HPLC method is usually chosen for monosaccharides analysis due to its high sensitivity and high separation efficiency. The efficient analysis of monosaccharides has a potential in the bioconversion process for the co-production of biofuel from lignocellulosic biomass[19].
Conclusion
Biodegradation of pine needle biomass in to fermentable sugars was established in a comparative mode by using crude, partially purified and purified hydrolytic enzymes - cellulase and xylanase produced from potential mutant inhouse strains i.e. B. stratosphericus N12 (M) and B. altitudinis Kd1 (M).The process parameters were optimized for increasing saccharification of lignocellulosic biomass using a statistical model- CCD of Response Surface Methodology and maximum reducing sugars of 33.21 mg/g were obtained from microwave pretreated pine needles biomass using purified hydrolytic enzymes with 453.50 % overall increase after optimization.Quantitative analysis of sugars i.e. glucose and xylose had been done using HPLC and depicted highest reducing sugars i.e 31.46 mg/g (29.96 mg/g glucose and xylose i.e. 1.50 mg/g) in pretreated pine needles biomass with purified version of enzymes, thus proving the need of pretreatment and robustness of enzymes.
Acknowledgement
Authors gratefully acknowledge the financial support given by National Mission on Himalayan studies (NMHS), G.B. Pant National Institute of Himalayan Environment and Sustainable Development (GBPNIHESD), Kosi-Kataramal, Almora, Uttarakhand, Ministry of Environment, Forest and Climate Change (MoEF&CC), Govt of India, New Delhi
References
- Ma W, Chen G (2019) Bioenergy and Environment. Waste Biomass Valori 10: 3843.
- Maximo M M, Garcia V M R, Sosa L B L, Quinones J G R (2020)Exploration of wood waste of pinus app for Briquette production: A case study in the community of San Francisco Pichatara, Minchoacan , Mexico. Appl Sci10:2933.
- Lara-Serrano M, Morales-de la Rosa S, Campos-Martín J M,- Fierro JLG (2019) Fractionation of lignocellulosic biomass by selective precipitation from ionic liquid dissolution. Appl Sci 9: 1862.
- Verma A K, Mondal P (2017)Pyrolysis of pine needles: Effect of process parameters on product yield and analysis of products. J Therm Anal Calorim320454782.
- Mahajan R, Chandel S, Puniya AK, Goel G (2020) Effect of pretreatments on cellulosic composition and morphology of pine needle for possible utilization as substrate for anaerobic digestion. Biomass Bioenerg141:105705.
- Biswas R, Teller P J, Khan MU, Ahring B K (2020)Sugar Production from Hybrid Poplar Sawdust: Optimization of Enzymatic Hydrolysis and Wet Explosion Pretreatment.Molecules25: 3396.
- Borand M N, Kaya A I, Karaosmanoglu F (2020) Saccharification yield through enzymatic hydrolysis bof the steam exploded pinewood. Energies13:4552.
- Sharma N, Sharma N, Tanwar D (2020)Enhanced biodegradation of pine needles by optimizing temperature for different degrading fungi under solid state fermentation. Chem Sci Rev Lett 9: 374-381.
- Sharma N (2013)Bioconversion of cellulosic waste in to bioethanol as biofuel. PhD. Thesis.Department of Basic Sciences, Dr Y S Parmar University of Horticulture and Forestry, Nauni, Solan, Himachal Pradesh, India.
- Reese E T, Mandels M (1963)Enzymatic hydrolysis of cellulose and its derivatives In: Methods Carbohydrate Chemistry (ed. Whistler R L) 3rd edn., Academic Press, London 139-143.
- Berghem L E R, Pettersson L G (1973)Mechanism ofenzymatic cellulose degradation and purification of a cellulolytic enzyme from T. viride active on highly ordered cellulose. J Biochem37: 21-30.
- Miller G L (1959)Use of dinitrosalicylic acid reagent fordetermination of reducing sugars. Anal Chem31: 426-28.
- Lowry O H, Rosebrough N J, Farr A L, Randall R J (1951) Protein measurement with the Folin-phenol reagent. J Biol Chem193: 265-75.
- Sharma N, Sharma N (2021)Screening and molecular identification of hypercellulase and xylanase producing microorganisms for bioethanol production. Curr Sci 120: 841-49.
- Phukon L C, Chourasia R, Kumari M, Godan T K, Sahoo D, Parameswaran B, Rai A K (2020) Production and characterization of lipase for application in detergent industry from a novel Pseudomonas helmanticensis HS6.Bioresour Technol 309: 123352.
- Karlpudi A P, Venkateshwarulu T C, Srerama K, Dirisala V, Kamarajugadda BP, Kota R K, Kodali N P (2019)Purification and lignocellulolytic potential of cellulase from newly isolated Acinetobacter indicus KTCV2 strain. Iran J Sci Technol 43: 755-61.
- Chidi SB, Godana B, Ncube A, Jansen E, Rensburg V, Cronshaw A, Abotshi EK (2008)Production, purification and characterization of celullase-free xylanase from Aspergillus terreus UL 4209.Afr J Biotechnol 7: 3939-48.
- Sherpa KC, Ghangrekar M M, Banerjee R (2019) Optimization of enzymatically pretreated sugarcane tops by response surface methodology for ethanol. Biofuels10:73-80.
- Li H, Long C, Zhou J (2013) Rapid analysis of mono-saccharides and oligo-saccharides in hydrolysates of lignocellulosic biomass by HPLC. Biotechnol Lett 35: 1405–09.
Artcle Information
Review Article
Received Date: February 12, 2022
Accepted Date: March 12, 2022
Published Date: March 14, 2022
Journal of Biodegradation and Bioremediation
Volume 1 | Issue 1
Citation
Nivedita Sharma (2022) Development of a Process for Efficient Enzymatic Hydrolysis of Pine Needles for Enhanced Sugar Production: A Key Step for Second Generation Ethanol Production. J Biodegrad BioRem 1: 1-12
Copyright
©2022 Nivedita Sharma. This is an open-access article distributed under the terms of the Creative Commons Attribution License, which permits unrestricted use, distribution, and reproduction in any medium, provided the original author and source are credited.
doi: jbb.2022.1.1-12

